Кольцо из носа обнаружили в лёгких

Врачи обнаружили в лёгких 35-летнего мужчины кольцо, которое он потерял 5 лет назад. Оно использовалось для пирсинга носа, а потом просто исчезло.
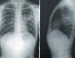
Проживающий в Цинциннати на территории штата Огайо 35-летний американец Джоуи Лайкинс нашел потерянное 5 лет назад кольцо, которое он использовал для пирсинга носа. Причём оно было обнаружено в легком. В прошлом месяце мужчину срочно доставили в приёмное отделение с подозрением на тяжелую пневмонию, так как он задыхался и очень сильно кашлял. Врачи провели сканирование, которое показало, что никакой пневмонии у Джоуи нет, но в верхней левой доли легкого явно прослеживается посторонний предмет, похожий на кольцо.
А пациент действительно подтвердил, что 5 лет назад он носил пирсинг в носу, но кольцо исчезло, и сам мужчина считал его утерянным. Оказалось, что каким-то невероятным образом оно попало внутрь его организма. Врачи прибегли к помощи бронхоскопии и удалили инородный предмет. При этой процедуре трубку вводят через горло в лёгкие, она также применяется и для исследования этих органов.
Остаётся загадкой, как кольцо могло попасть ему в лёгкие. В медицине имеется всего несколько неподтвержденных сообщений о том, что люди проглатывали или вдыхали свои драгоценности. Но сложно себе представить, в каком состоянии должен находиться человек, чтобы не заметить, как он вдохнул через нос (!) посторонний предмет вроде кольца. (ЧИТАТЬ ДАЛЕЕ)
Оставить комментарий